05 дек 17:49 Начало строительства плавательного бассейна в Слободском запланировано на 2026 год 05 дек 16:37 Театральная гостиная, посвященная Сергею Есенину, откроется в Коминтерне 05 дек 16:15 В Арбажском краеведческом музее открылась выставка «Парад снеговиков» 05 дек 15:45 В Кирове проходит Всероссийская конференция на тему помощи несовершеннолетним с деструктивным и суицидальным поведением 05 дек 15:15 Кировские волонтёры организовали патриотический концерт для тех, кто приближает Победу России в СВО в тылу 05 дек 14:45 Дно реки Вятки углубят на участке в 10 километров 05 дек 14:15 В Выставочном зале Вятского художественного музея открылась экспозиция «Художники Широковы. Династия» 05 дек 13:40 Кировские дорожники объяснили, отчего зависит выбор противогололедных материалов 05 дек 13:15 В Кирове продолжают ликвидировать места концентрации ДТП 05 дек 12:15 Игорь Комаров принял участие в торжествах, приуроченных к празднованию Дня Кировской области

Кировчанке вырезали опухоль в черепе через «замочную скважину»

Кировчанке вырезали опухоль в черепе через «замочную скважину»
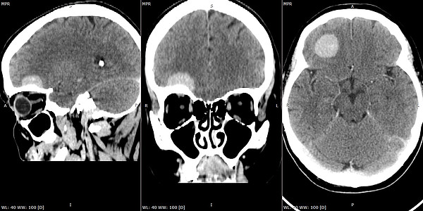
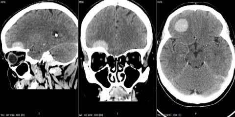
По словам заведующего нейрохирургическим отделением КОКБ Михаила Конопаткина, сейчас в нейрохирургии есть тенденция к применению более щадящих, малоинвазивных методик. Совершенствуются доступы к структурам головного мозга.

– Весьма актуальной становится так называемая keyhole хирургия. «Keyhole» в переводе с английского означает «замочная скважина». Важнейший принцип этой методики – снижение травматизации ткани мозга. Минимальное повреждение мягких тканей и размер трепанационного окна позволяют адекватно щадяще выполнить операцию, и в большинстве случаев, выписать пациента через несколько дней после операции домой, – пояснил Михаил Конопаткин.

Чтобы иметь возможность выполнять такие сложные оперативные вмешательства в нейрохирургическое отделение была приобретена специальная аппаратура: силовое оборудование, нейронавигация, современный операционный микроскоп, микроинструментарий. 

Недавно специалисты КОКБ применили технологию keyhole при оперативном лечениии жительницы Кировской области. У нее нашли объемное образование основания черепа. Опухоль извлекли через разрез вдоль брови, длиной всего в 3 сантиметра. Подход к опухоли осуществлялся по основанию черепа, то есть в пространстве между мозгом и костными структурами.

– Для расчета оптимальной траектории использовалась нейронавигация, позволившая точно определить локализацию опухоли и свести к минимуму повреждение окружающего мозгового вещества. У пациентки сохранены все двигательные, чувствительные, мнестические функции, кроме того достигнут и хороший косметический результат, – сообщил заведующий отделением.

Фото: medkirov.ru

новости онлайн Киров, область, РФ, мир - https://t.me/vesti_ko

counter

Новости партнеров

Реклама