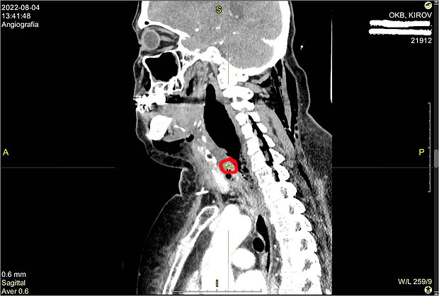
В областную клиническую больницу ее привезли в тяжёлом состоянии из-за сильнейшего обезвоживания и интоксикации. Компьютерный томограф показал врачам инородное тело в шейном отделе пищевода и флегмон шеи верхнего средостения. Из-за, что женщина медлила с визитом к медикам, гнойное воспаление тканей опустилось вниз, в полость между лёгким и сердцем. Там развился передний медиастинит. Это чрезвычайно опасное для жизни инфекционное воспаление клетчатки средостения, причиной которого стала перфорация пищевода.
Пенсионерка была незамедлительно прооперирована. Выполнено широкое вскрытие флегмоны, аэрация и санирование раны, а также трахеостомия.
После перевода из реанимации в оториноларингологическое отделение ей провели еще одну операцию, чтобы она могла самостоятельно кушать.
– Всего женщина провела в областной больнице около месяца и была выписана в ЦРБ по месту жительства на долечивание. Несмотря на возраст и тяжесть исходного состояния, пациентка уверенно идёт на поправку. Наши коллеги из района сообщили, что рана пищевода закрылась, в ближайшее время трахеостому можно будет убрать. Женщине предстоит ещё ряд операций, но главное, что её жизнь уже вне опасности, – подчеркнул заведующий отделением.
Как отметил главный врач КОКБ Вадим Ральников, сохранить жизнь и здоровье пациентки позволили быстрая постановка диагноза, грамотно налаженное взаимодействие между структурными подразделениями клиники, высокая квалификация специалистов и наличие современного оборудования.
Фото: medkirov.ru
Новости онлайн Киров, область, РФ, мир - https://max.ru/vesti_ko

